方案背景
体外诊断指对人体样本(血液、体液、组织)进行定量或定性的检测分析,是进行病情判别和疾病治疗的重要组成部分。随着国家推行“健康中国2030”战略,民众的健康意识日益增强,体外诊断设备正在深入基层医疗机构,需求量飞速增长的同时,体外诊断设备的多样化需求也摆在眼前,利用视觉设备替代人眼进行检测分析可以大幅提高检测效率,给医护人员带来更好的工作体验。
相机作为新型体外诊断设备的核心器件,在上料、显微对焦、样本分析等环节都起到关键作用,体外诊断设备不同于普通民用设备,对检测效率和图像质量都有非常高的要求,大恒图像作为国内视觉厂商领军者,为多个IVD行业客户供应视觉部件,帮助客户完成体外诊断设备中视觉检测系统的搭建。
方案优势
1)大恒图像自主研发生产的数字相机搭载工业级图像传感器,可以在样本检测的第一道工序便获取优质的图像。
2)相机内置的ISP功能可提升图像的色彩还原度,可为后端算法提供质量最优的图像,提升检出准确率,为设备用户提供观感更佳的预览画面。
3)相机长曝光功能搭配大恒图像相机的降噪算法,可有效降低图像噪声对检测样本的干扰,在核酸检测等样本测试中避免阳性误报,后疫情时代助力核酸筛查。
4)小巧的体积和超低功耗有利于设备集成,可适配基层医疗机构不同性能的主机设备,保证设备在现场的稳定运行。
应用展示
体液检测

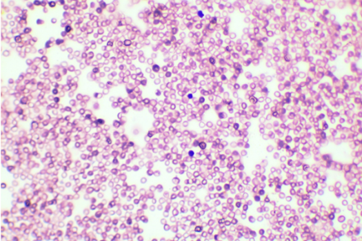
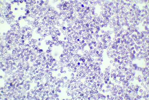
脊髓液细胞
![]() | ![]() | |
普通彩色相机采图结果 | 大恒图像相机色彩优化后 |
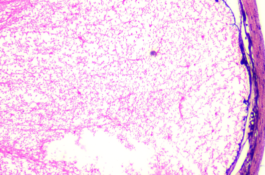
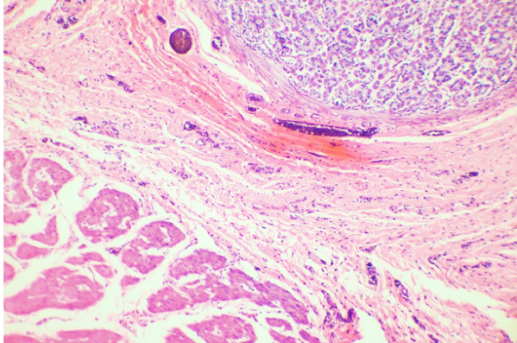
器官组织切片
![]() | ![]() | |
普通彩色相机采图结果 | 大恒图像相机色彩优化后 |
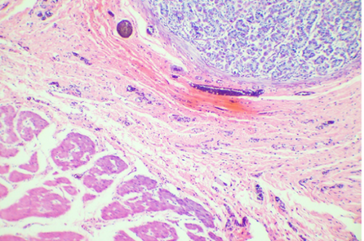
![]() | ![]() | |
肠切片 | 肺切片 |
更多应用
![]() | ![]() | |
小麦组织 | 玉米组织 |